Dr thiago dantas | cro9848
Nossos Serviços
Oferecemos soluções em implantodontia com qualidade, tecnologia e atendimento personalizado para nossos pacientes.
Protocolo sobre implantes
Reabilitação de arcos totais com apenas 04 ou 06 implantes. Este procedimento está indicado para os pacientes que usam próteses removíveis e buscam por mais conforto e melhor qualidade de vida.
Consultas Especializadas
Nesse momento o Dr Thiago vai avaliar o seu estado geral de saúde, entender as suas principais queixas e construir um plano de tratamento personalizado para executar a sua reabilitação.
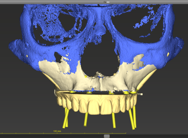
Planejamento digital
Todos os casos são planejados de maneira digital. Assim, é possível que o paciente veja uma simulação do seu novo sorriso antes mesmo de iniciar o tratamento. Desta forma é possível obter melhores resultados estéticos e funcionais.
Implantes unitários
Soluções de implantes unitários com técnicas minimamente invasivas.






Implantes zigomático
Este tipo de reabilitação é uma técnica mais avançada indicada para pacientes que já usam próteses removíveis há muitos anos e não têm mais estrutura óssea para a instalação de implantes convencionais.
Enxertos ósseos
Técnicas utilizadas para reconstrução ósseas na região de um ou mais dentes.


Implantes Dentários
Oferecemos soluções modernas e eficazes para sua saúde bucal.
Tratamento Personalizado
Sorrisos naturais compatíveis com as características de cada paciente.


Tecnologia Avançada
Utilizamos ferramentas digitais 3D para otimizar e prever os resultados de forma individualizada para cada pacientes.


Equipe Especializada
O Dr. Thiago Dantas é um Cirurgião Buco-Maxilo-Facial e especialista em Implantodontia. Combinando estas duas especialidades, ele se dedicou à tratamentos de reabilitação oral mais avançados para proporcionar o melhor da implantodontia para os pacientes.
Localização Conveniente
Estamos localizados no Edifício Uno Medical & Office. Um prédio com ótima localização na Av. Pontes Vieira, 2340 - Dionísio Torres, Fortaleza/CE